🔥 国試まであとわずか!オリジナル模擬試験100問 販売中(¥500)→

第70回AM 臨床検査技師国家試験【臨床微生物学】過去問解説・重要ポイント

第70回 臨床検査技師国家試験

第70回AM 臨床検査技師国家試験 過去問解説AM(68~78)です。間違いやご要望等ありましたらコメントしていただけると嬉しいです!

問題出典:https://www.mhlw.go.jp/seisakunitsuite/bunya/kenkou_iryou/iryou/topics/dl/tp240424-07a_01.pdf

スポンサーリンク
スポンサーリンク

AM 68(臨床微生物学)

厚いペプチドグリカン層を持つのはどれか。

  1. Chlamydia trachomatis
  2. Klebsiella pneumoniae
  3. Mycoplasma pneumoniae
  4. Orientia tsutsugamushi
  5. Staphylococcus aureus
解答:5

Gram陽性菌であるブドウ球菌(Staphylococcus aureus)は、細胞壁に厚いペプチドグリカン層を持ちます。

各選択肢の解説
  1. Chlamydia trachomatis(クラミジア): 細胞壁は持ちますが、ペプチドグリカン層は形成しません。
  2. Klebsiella pneumoniae(肺炎桿菌): Gram陰性桿菌であり、ペプチドグリカン層は薄いです。
  3. Mycoplasma pneumoniae(マイコプラズマ): 細胞壁を持ちません。
  4. Orientia tsutsugamushi(ツツガムシ病リケッチア): Gram陰性で細胞内寄生性の細菌であり、ペプチドグリカン層を形成しません。
  5. Staphylococcus aureus(黄色ブドウ球菌): Gram陽性球菌であり、厚いペプチドグリカン層を持ちます。

細菌は、細胞壁の構造の違いによりGram染色で染まる色(Gram陽性菌:青紫色、Gram陰性菌:赤色)が異なります。この違いは、細胞壁にあるペプチドグリカン層が大きく関係します。

細胞壁の構造

1. Gram陽性菌

  • 特徴: 細胞膜の外側に厚いペプチドグリカン層があり、その外側にテイコ酸やリポテイコ酸などが存在します。
  • Gram染色: クリスタルバイオレットが厚いペプチドグリカン層に保持されるため、脱色されず青紫色に染まります。

2. Gram陰性菌

  • 特徴: 細胞膜と外膜の間に薄いペプチドグリカン層があり、外膜にはリポ多糖(LPS)などが存在します。
  • Gram染色: ペプチドグリカン層が薄いため、クリスタルバイオレットが脱色されやすく、サフラニンで赤色に染まります。
Gram陽性菌と陰性菌

AM 69(臨床微生物学)

β-ラクタム系抗菌薬はどれか。 2 つ選べ。

  1. コリスチン
  2. メロペネム
  3. セフォタキシム
  4. シプロフロキサシン
  5. クロラムフェニコール
解答:2,3

β-ラクタム系抗菌薬は細胞壁合成阻害作用を持ち、ペニシリンセフェムカルバペネムモノバクタムの4つの系統に分類されます。

各選択肢の解説
  1. コリスチン: ポリミキシン系の抗菌薬で、細菌の細胞膜に作用し膜透過性を亢進させます。
  2. メロペネム: カルバペネム系のβ-ラクタム系抗菌薬です。幅広い抗菌スペクトルを持ち、重症感染症に用いられます。
  3. セフォタキシム: セフェム系(第3世代)のβ-ラクタム系抗菌薬です。
  4. シプロフロキサシン: フルオロキノロン系の抗菌薬で、細菌のDNAジャイレースなどの核酸合成酵素を阻害します。
  5. クロラムフェニコール: タンパク質合成阻害薬で、細菌のリボソームに結合しタンパク質合成を阻害します。

抗菌薬は、細菌の増殖を阻害したり殺菌したりする薬剤です。その作用機序によって様々な種類に分類され、それぞれ異なる標的を持っています。β-ラクタム系抗菌薬は、細菌の細胞壁合成を阻害する代表的な薬剤です。

β-ラクタム系抗菌薬とは

β-ラクタム系抗菌薬は、その分子構造中に「β-ラクタム環」という特徴的な構造を持つ抗菌薬の総称です。このβ-ラクタム環が、細菌の細胞壁を合成する酵素(ペニシリン結合蛋白:PBP)を阻害することで細胞壁の合成を妨げ、細菌を死滅させます。

β-ラクタム系の作用機序

β-ラクタム系抗菌薬の主な系統

  • ペニシリン系: ペニシリンG、アンピシリンなど
  • セフェム系: セフォタキシム、セフトリアキソンなど
  • カルバペネム系: メロペネム、イミペネムなど
  • モノバクタム系: アズトレオナムなど

AM 70(臨床微生物学)

感染症法で二類感染症に分類されるのはどれか。

  1. 結 核
  2. コレラ
  3. サル痘〈エムポックス〉
  4. 炭 疽
  5. ペスト
解答:1

感染症法における二類感染症は、結核や鳥インフルエンザ(H5N1、H7N9)などが該当し、危険性は高いが特定の方法で蔓延を防止できるものです。

各選択肢の解説
  1. 結核: 二類感染症に分類されます。
  2. コレラ: 三類感染症に分類されます。
  3. サル痘(エムポックス): 四類感染症に分類されます。
  4. 炭疽: 四類感染症に分類されます。
  5. ペスト: 一類感染症に分類されます。

感染症法(感染症の予防及び感染症の患者に対する医療に関する法律)では、病原性や感染力、まん延防止の必要性に応じて感染症を1類から5類、新型インフルエンザ等感染症、指定感染症などに分類しています。各分類によって届出義務や入院勧告、行動制限などの措置が異なります。

感染症法とその分類

感染症法の主な分類と代表例

  • 一類感染症:感染力や罹患した場合の重篤性などに基づく総合的な観点からみた危険性が極めて高い感染症
    • 例:エボラ出血熱、クリミア・コンゴ出血熱、痘そう、南米出血熱、ペスト、マールブルグ病、ラッサ熱
  • 二類感染症:感染力や罹患した場合の重篤性などに基づく 総合的な観点からみた危険性が高い感染症
    • 例:結核、鳥インフルエンザ(H5N1、H7N9)、急性灰白髄炎(ポリオ)、ジフテリア、重症急性呼吸器症候群(SARS)、中東呼吸器症候群(MERS)
  • 三類感染症:感染力や罹患した場合の重篤性などに基づく 総合的な観点からみた危険性は高くないものの、特定の職業に就業することにより感染症の集団発生を起こしうる感染症
    • 例:コレラ、細菌性赤痢、腸管出血性大腸菌感染症、腸チフス、パラチフス
  • 四類感染症:人から人への感染はほとんどないが、動物、飲食物などの物件を介して人に感染し、国民の健康に影響を与えるおそれのある感染症
    • 例:狂犬病、マラリア、日本紅斑熱、ツツガムシ病、デング熱など
  • 五類感染症:国が感染症発生動向調査を行い、その結果に基づき必要な情報を国民や医療関係者などに提供・公開していくことによって、発生・拡大を防止すべき感染症
    • 例:インフルエンザ、性器クラミジア感染症、麻しん(はしか)、風しんなど

AM 71(臨床微生物学)

TSI 培地に細菌を接種して 1 日後の写真を別に示す。推定されるのはどれか。

  1. Citrobacter freundii
  2. Enterobacter cloacae
  3. Proteus vulgaris
  4. Salmonella enterica subsp. enterica serovar Typhi
  5. Shigella sonnei
解答:4

TSI(Triple Sugar Iron)培地は、糖分解能(グルコース、ラクトース、スクロース)硫化水素産生能ガス産生能を同時に調べる培地です。

各選択肢の解説
  1. Citrobacter freundii: ブドウ糖分解陽性、乳糖/白糖分解陽性、H2S産生陽性、ガス産生陽性。
  2. Enterobacter cloacae: ブドウ糖分解陽性、乳糖/白糖分解陽性、ガス産生陽性、H2S産生陰性。
  3. Proteus vulgaris: ブドウ糖分解陽性、乳糖分解陰性、白糖分解陽性、H2S産生陽性、ガス産生陽性。運動性があり、培地の表面を這うように広がる「遊走:スウォーミング」を示す。
  4. Salmonella enterica subsp. enterica serovar Typhi(チフス菌): ブドウ糖分解陽性、乳糖/白糖分解陰性、H2S産生陽性ガス産生陰性。今回の写真と最も合致。
  5. Shigella sonnei: ブドウ糖分解陽性、乳糖/白糖分解陰性、H2S産生陰性、ガス産生陰性。

TSI培地は、主に腸内細菌科細菌の鑑別に使用されます。斜面部と高層部からなり、接種後の培地の色の変化(pH変化による)、高層の亀裂(ガス産生)、黒化(硫化水素産生)から、生化学的性状を判別します。

TSI寒天培地の反応例

TSI培地の反応判読の基本

  • 糖分解(酸産生):
    • ブドウ糖のみ分解: 高層部が黄変(酸性)、斜面部は赤色(アルカリ性)。斜面部ではブドウ糖消費後、ペプトンからエネルギーを得ます。この際、アミノ酸分解によりアンモニアが産生され、アルカリ性(赤色)となります。しかし、高層部では培地中のブドウ糖が緩やかに消費され、酸が維持(黄色)されます。
    • ブドウ糖と乳糖/白糖分解: 高層部も斜面部も黄変(酸性)。大量の糖を分解するため、培地全体が酸性に保たれます。
  • 硫化水素(H2S)産生:
    • チオ硫酸ナトリウムを分解して硫化水素(H2S)が産生されると、硫酸鉄と反応して培地が黒色に変化します。主に高層部に見られます。
  • ガス産生:
    • 糖分解によってガス(CO2、H2など)を産生すると、培地中に亀裂が入ったり、培地が押し上げられたりします。

TSI培地の写真分析

  • 斜面部: 赤色
  • 高層部: 黄色
  • 黒化(H2S産生): 黒色の沈殿が見られる(陽性)
  • ガス産生: 高層に亀裂が見られる(陽性)

この結果は、「ブドウ糖分解」「H2S産生陽性」「ガス産生陽性」を示しています。

AM 72(臨床微生物学)

急性単純性尿路感染症の原因菌で最も頻度が高く検出されるのはどれか。

  1. Enterococcus faecalis
  2. Escherichia coli
  3. Klebsiella pneumoniae
  4. Proteus mirabilis
  5. Staphylococcus epidermidis
解答:2

急性単純性尿路感染症の8割以上は、大腸菌(Escherichia coli)が原因です。

各選択肢の解説
  1. Enterococcus faecalis: Gram陽性球菌で尿路感染症の原因となることはありますが、大腸菌ほど頻繁ではありません。
  2. Escherichia coli: 急性単純性尿路感染症で最も頻度が高く検出される原因菌です。
  3. Klebsiella pneumoniae: 大腸菌に次いで多いGram陰性桿菌の一つですが、最も頻度が高いわけではありません。
  4. Proteus mirabilis: 尿路感染症の原因となりますが、最も頻度が高いわけではありません。
  5. Staphylococcus epidermidis: 皮膚の常在菌で、急性単純性尿路感染症の主な原因にはなりません。

尿路感染症は、尿道から細菌が侵入して膀胱や腎臓で増殖することで起こる感染症で、特に女性に多く見られます。原因菌は、その経路や性別、基礎疾患の有無によって異なりますが、最も頻繁に検出されるのは腸管内常在菌です。

尿路感染症の主要な原因菌

尿路感染症の多くは、尿道の入り口から細菌が逆行性に侵入することで発生します。特に、腸管に常在するグラム陰性桿菌が主な原因となります。

  • Escherichia coli:
    • 最も頻度が高い原因菌で、急性単純性尿路感染症の約80%を占めます。
    • 大腸菌は腸管内常在菌であり、女性は尿道が短く、肛門と尿道が近いため、大腸菌が尿道から膀胱へ侵入しやすいとされています。
  • Klebsiella pneumoniae:
    • 腸管に生息し、大腸菌に次いで多い原因菌の一つです。
  • Proteus mirabilis:
    • 特に尿道カテーテル留置患者で発症しやすいです。
  • Pseudomonas aeruginosa:
    • グラム陰性桿菌であり、特に免疫力が大幅に低下した患者さんでは注意が必要です。

AM 73(臨床微生物学)

蛋白合成阻害作用を有するのはどれか。

  1. ペニシリン G
  2. バンコマイシン
  3. ポリミキシン B
  4. クラリスロマイシン
  5. シプロフロキサシン
解答:4

クラリスロマイシンはマクロライド系抗菌薬であり、細菌のリボソームに作用してタンパク質合成を阻害します。

各選択肢の解説
  1. ペニシリンG: 細胞壁合成阻害作用を持つβ-ラクタム系抗菌薬です。
  2. バンコマイシン: 細胞壁合成阻害作用を持ちます。
  3. ポリミキシンB: 細胞膜機能阻害作用を持ちます。
  4. クラリスロマイシン: マクロライド系抗菌薬であり、タンパク質合成阻害作用を持ちます。
  5. シプロフロキサシン: フルオロキノロン系抗菌薬であり、核酸合成阻害作用を持ちます。

抗菌薬は、細菌の増殖や生存に必要な様々なプロセスを阻害することで効果を発揮します。細胞壁合成阻害、タンパク質合成阻害、核酸合成阻害、細胞膜機能阻害などに大きく分類されます。

抗菌薬の作用機序

主要な抗菌薬とその作用機序

  • 細胞壁合成阻害薬:
    • ペニシリン系、セフェム系、モノバクタム系、カルバペネム系: β-ラクタム環を持ち、細胞壁の主要構成成分であるペプチドグリカンの合成を阻害します。
    • グリコペプチド系、ホスホマイシン系: ペプチドグリカン合成を阻害します。
  • タンパク質合成阻害薬:
    • アミノグリコシド系、テトラサイクリン系: リボソームの30Sサブユニットに結合してタンパク質合成を阻害します。
    • マクロライド系、クロラムフェニコールなど: 細菌のリボソーム50Sサブユニットに結合し、タンパク質合成を阻害します。
  • 核酸合成阻害薬:
    • キノロン系: DNAジャイレースを阻害し、DNA合成を阻害します。
    • リファマイシン系はRNA合成阻害、サルファ剤は葉酸代謝阻害、ニトロイミダゾール系はDNA傷害を引き起こします。
  • 細胞膜機能阻害薬:
    • ポリペプチド系: 細胞膜に結合して膜透過性を亢進させ、細菌を死滅させます。
    • 環状リポペプチド系: 細胞膜と結合して細胞内カリウムを流出させます。

AM 74(臨床微生物学)

グラム陰性球菌はどれか。

  1. Aeromonas hydrophila
  2. Bacillus anthracis
  3. Corynebacterium diphtheriae
  4. Klebsiella pneumoniae
  5. Moraxella catarrhalis
解答:5

Moraxella catarrhalis は、呼吸器感染症の原因となるグラム陰性球菌の代表例です。

各選択肢の解説
  1. Aeromonas hydrophila: Gram陰性桿菌です。
  2. Bacillus anthracis: Gram陽性桿菌です。
  3. Corynebacterium diphtheriae: Gram陽性桿菌です。
  4. Klebsiella pneumoniae: Gram陰性桿菌です。
  5. Moraxella catarrhalis: Gram陰性球菌です。

Gram染色は、細菌を大きくGram陽性菌とGram陰性菌に分け、さらに形態(球菌、桿菌、らせん菌など)を観察することで、細菌の同定に役立つ最も基本的な染色法です。

Gram染色による分類と主な細菌

1. Gram陽性菌(青紫色に染まる)

  • Gram陽性球菌:
    • Staphylococcus: ブドウの房状に集まる。例: Staphylococcus aureus (黄色ブドウ球菌)
    • Streptococcus属: レンサ状に連なる。例: Streptococcus pneumoniae (肺炎球菌)
  • Gram陽性桿菌:
    • Bacillus属、Clostridium属、Corynebacterium属など

2. Gram陰性菌(赤色に染まる)

  • Gram陰性球菌:
    • Neisseria: 双球菌。例: Neisseria gonorrhoeae (淋菌)
    • Moraxella: 双球菌。例: Moraxella catarrhalis
  • Gram陰性桿菌:
    • 腸内細菌科細菌: Escherichia coli (大腸菌)、Klebsiella pneumoniae (肺炎桿菌)など
    • Pseudomonas aeruginosa (緑膿菌)、Vibrio cholerae (コレラ菌)など

AM 75(臨床微生物学)

バイオセーフティレベル〈BSL〉3 対応が必要なのはどれか。

  1. Aspergillus fumigatus
  2. Candida glabrata
  3. Histoplasma capsulatum
  4. Pneumocystis jirovecii
  5. Trichophyton rubrum
解答:3

バイオセーフティレベル(BSL)は、病原体の危険度に応じて定められた封じ込めレベルです。BSL-3は、ヒトまたは動物に感染すると通常重篤な疾病を起こすが、一つの個体から他の個体への伝播の可能性は低いものとされています。

各選択肢の解説
  1. Aspergillus fumigatus: 真菌(カビ)の一種で、アスペルギルス症の原因となります。通常はBSL-2で対応可能です。
  2. Candida glabrata: 真菌(酵母)の一種で、カンジダ症の原因となります。通常はBSL-2で対応可能です。
  3. Histoplasma capsulatum: ヒストプラズマ症の原因となる真菌で、吸入によって感染し、重篤な呼吸器疾患を引き起こす可能性があり、BSL-3レベルでの対応が必要とされています。
  4. Pneumocystis jirovecii: ニューモシスチス肺炎の原因となる真菌です。通常はBSL-2で対応可能です。
  5. Trichophyton rubrum: 白癬(水虫など)の原因となる真菌です。通常はBSL-2で対応可能です。

バイオセーフティレベル(BSL)は、微生物や病原体の安全な取り扱いを確保するために、その危険度(感染性、病原性、予防・治療の可否など)に基づいて定められた封じ込めレベルです。BSL-1からBSL-4まであり、レベルが高いほど厳重な封じ込めが必要です。

バイオセーフティレベルの概要

  • BSL-1:
    • BSL2及び3に属さない、ヒトから分離されたことのない微生物
    • 特別な設備は不要。
  • BSL-2:
    • ヒトまたは動物に病原性を有するが、実験室その他の職員等、家畜等に対し、重要な災害となる可能性が低いもの。
    • 例:黄色ブドウ球菌、ヘルペスウイルス、B型肝炎ウイルスなど。
    • バイオハザード標識表示など。
  • BSL-3:
    • ヒトまたは動物に感染すると通常重篤な疾病を起こすが、一つの個体から他の個体への伝播の可能性は低いもの。
    • 例:結核菌、炭疽菌、ブルセラ菌、HIV、Histoplasma capsulatumなど。
    • 専用保護衣、入域制限など厳重な封じ込めが必要。
  • BSL-4:
    • ヒトまたは動物に重篤な疾病を起こし、かつ、擢患者から他の個体への伝播が、直接または聞接に容易に起こり得るもの。有効な治療および予防法が通常得られないもの。
    • 例:エボラウイルス、マールブルグウイルス、ラッサウイルスなど。
    • 最高度の封じ込め設備(特別廃棄処理、退出時のシャワー、エアロックシステムなど)が必要。

AM 76(臨床微生物学)

ウイルスと親和性の高い組織・細胞の組合せで正しいのはどれか。

  1. EB ウイルス ― 単 球
  2. ロタウイルス ― 腸 管
  3. ポリオウイルス ― 皮 膚
  4. ライノウイルス ― 神 経
  5. 単純ヘルペスウイルス ― 気 道
解答:2

ウイルスは特定の細胞表面の受容体と結合することで感染します。これを組織親和性(トロピズム)と呼び、ウイルスによって感染しやすい臓器や細胞が異なります。

各選択肢の解説
  1. EBウイルス – 単球: 誤り。EBウイルスは主にBリンパ球に感染します。
  2. ロタウイルス – 腸管: 正しい。ロタウイルスは小腸上皮細胞に感染します。
  3. ポリオウイルス – 皮膚: 誤り。ポリオウイルスは主に腸管から神経細胞に感染します。
  4. ライノウイルス – 神経: 誤り。ライノウイルスは主に上気道の細胞に感染します。
  5. 単純ヘルペスウイルス – 気道: 誤り。単純ヘルペスウイルスは皮膚や粘膜、神経に感染します。

ウイルスが特定の細胞や臓器に感染しやすい性質を「組織親和性」または「トロピズム」と呼びます。これは、ウイルスの表面にある構造(スパイクタンパク質など)が、宿主細胞の特定の受容体と特異的に結合することによって決まります。この親和性がウイルスの感染経路や症状、病態を大きく左右します。

各ウイルスの組織親和性

  • EBウイルス
    • 親和性の高い組織・細胞: Bリンパ球
    • Bリンパ球に感染し、伝染性単核球症やBurkittリンパ腫、上咽頭癌などの原因となります。
  • ロタウイルス
    • 親和性の高い組織・細胞: 腸管(小腸上皮細胞)
    • 小腸上皮細胞に感染し、乳幼児のウイルス性胃腸炎を引き起こします。
  • ポリオウイルス
    • 親和性の高い組織・細胞: 腸管(初期感染)、神経細胞(特に脊髄前角細胞)
    • 最初は腸管で増殖し、その後中枢神経系に移行して神経細胞を障害することで麻痺を引き起こします。
  • ライノウイルス
    • 親和性の高い組織・細胞: 上気道(鼻腔、咽頭の粘膜細胞)
    • 一般的に「風邪」の原因となるウイルスで、上気道に感染します。
  • 単純ヘルペスウイルス
    • 親和性の高い組織・細胞: 皮膚粘膜細胞神経
    • 口唇ヘルペスや性器ヘルペスなどの原因となります。

AM 77(臨床微生物学)

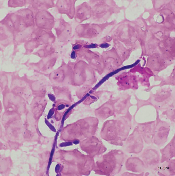
血液培養陽性ボトルの Gram 染色所見を別に示す。考えられるのはどれか。

  1. Bacillus
  2. Candida
  3. Cutibacterium
  4. Nocardia
  5. Pneumocystis
解答:2

血液培養陽性ボトルのGram染色で観察された形態は酵母と偽菌糸であり、これはCandidaなどの真菌に特徴的な所見です。

各選択肢の解説
  1. Bacillus属(バシラス属):
    • Gram陽性桿菌。通常は単独または連鎖した桿菌として観察され、芽胞を形成することもあります。
  2. Candida属(カンジダ属):
    • 酵母菌であり、Gram染色ではGram陽性の楕円形~卵形の酵母様細胞として観察されます。細胞が連なって偽菌糸(鎖状の細胞連鎖)を形成することがあります。
  3. Cutibacterium:
    • Gram陽性桿菌。皮膚常在菌で、血液培養のコンタミネーション原因菌として検出されることもあります。
  4. Nocardia:
    • Gram陽性桿菌。分岐した菌糸状の構造を認め、抗酸性を示します。
  5. Pneumocystis:
    • ニューモシスチス肺炎の原因菌で、Gram染色では染まりにくく、通常の酵母や菌糸とは異なる形態(嚢子など)が特徴的です。

血液培養は、敗血症などの全身性感染症が疑われる際、血中に存在する微生物を検出するために行われます。ボトル陽性の場合直ちにGram染色を行い、検出された微生物の形態やGram染色性を確認して迅速に治療方針を決定します。

Gram染色所見の分析

この問題の写真では以下のような特徴が見られます。

  • Gram染色性: 紫色に染まっている。
  • 形態:
    • 楕円形または卵形の細胞が多数見られる。
    • 一部の細胞からは、細長く伸びた構造(偽菌糸)が観察される。
    • これらの形態は酵母とその出芽、および偽菌糸に非常に特徴的です。

AM 78(臨床微生物学)

細菌の遺伝に関する記述で正しいのはどれか。

  1. 染色体は核膜内にある。
  2. プラスミドは一本鎖 DNA である。
  3. F プラスミドは薬剤耐性遺伝子である。
  4. R プラスミドは形質転換によって伝達される。
  5. 形質導入とはバクテリオファージを介した現象である。
解答:5

細菌の遺伝子伝達には形質転換、形質導入、接合の3つの主要なメカニズムがあり、それぞれ異なる担体を介して遺伝子が伝達されます。

各選択肢の解説
  1. 染色体は核膜内にある。: 誤り。細菌は核膜を持たず、染色体は細胞質中に存在します。
  2. プラスミドは一本鎖DNAである。: 誤り。プラスミドは通常、環状二本鎖DNAです。
  3. Fプラスミドは薬剤耐性遺伝子である。: 誤り。Fプラスミドは性線毛の形成に関わる遺伝子を持つプラスミドです。薬剤耐性遺伝子を持つプラスミドはRプラスミドと呼ばれます。
  4. Rプラスミドは形質転換によって伝達される。: 誤り。Rプラスミドの主な伝達経路は接合です。
  5. 形質導入とはバクテリオファージを介した現象である。: 正しい。形質導入はバクテリオファージが媒介する遺伝子伝達のメカニズムです。

細菌は、細胞分裂による増殖だけでなく、他の細菌から遺伝子を取り込むことで、薬剤耐性遺伝子や病原性遺伝子などを獲得し、進化していきます。この遺伝子伝達は臨床現場での薬剤耐性菌の出現や感染症の拡大に大きく関わるため、重要な知識です。

細菌の遺伝子と遺伝子伝達メカニズム

1. 細菌の遺伝子

  • 染色体: 細菌の遺伝子の本体であり、通常は環状二本鎖DNAとして細胞質中に存在します。
  • プラスミド: 染色体DNAとは独立して存在・複製する小さな環状二本鎖DNAです。薬剤耐性遺伝子や病原性遺伝子など生存に有利な情報を持つことが多いです。

2. 遺伝子伝達メカニズム

  • 形質転換:
    • 細菌が、周囲の環境中に遊離しているDNA断片(他の死んだ細菌から放出されたDNAなど)を細胞内に取り込み、自身のゲノムに組み込む現象です。
  • 形質導入:
    • バクテリオファージ(細菌に感染するウイルス)を介して遺伝子が伝達される現象です。ファージが細菌に感染する際に誤って細菌のDNAを自身の中に取り込み、次の細菌に感染する際にそのDNAを注入することで遺伝子が伝達されます。
  • 接合:
    • プラスミドを介して、細菌同士が直接接触して遺伝子を伝達する現象です。線毛を介してプラスミドの複製をしながら送り込みます。
形質転換の様式
形質導入の様式
接合伝達の様式

コメント

タイトルとURLをコピーしました